پیام آذری - گاهی بدن مون یه جوری رفتار می کنه که نمی تونیم بی تفاوت ازش بگذریم؛ یه روز با گزگز نوک انگشت ها بیدار می شی، یه روز دیگه موقع راه رفتن احساس می کنی پاها اون طور که باید فرمان نمی برن. شاید هم ناگهان چشمت تار می شه یا تمرکزت رو از دست می دی. و درست همون لحظه، یه اسم تو ذهنت جرقه می زنه: ام اس .

اما بذار خیالت راحت بشه — ام اس اون هیولایی نیست که ازش می ترسی. تشخیصش ترسناک نیست، فقط نیاز به آگاهی، صبر و اقدام به موقع داره. هرچقدر زودتر بفهمی چه خبره، زودتر می تونی مسیر درست درمان و کنترلش رو شروع کنی.
توی این مطلب قراره با هم یاد بگیریم:
* تست ام اس دقیقاً چیه و چطور انجام می شه
* چه علائمی ممکنه نشونه ی اولیه ی ام اس باشن
* آیا می شه تست ام اس رو در خانه انجام داد؟
* و نقش آزمایش در منزل در تشخیص بهتر چیه

ام اس چیست؟
بیماری ام اس (Multiple Sclerosis) نوعی اختلال خودایمن در سیستم عصبیه. یعنی سیستم ایمنی بدن اشتباهی به خودش حمله می کنه — دقیق تر بگم، به غلاف میلین، اون لایه ی محافظ اطراف رشته های عصبی در مغز و نخاع.
وقتی این غلاف آسیب می بینه، انتقال پیام های عصبی مختل می شه. نتیجه اش؟ حس های عجیب، ضعف، خستگی، یا حتی مشکلات بینایی.

اما یه نکته مهم وجود داره:
هیچ دو بیماری ام اسی شبیه هم نیستن.
برای همین تشخیصش نیاز به بررسی های دقیق، صبورانه و چندمرحله ای داره.
علائم اولیه ی ام اس که نباید نادیده بگیری
گاهی اولین نشونه ها خیلی ظریفن — اون قدر که ممکنه اصلاً جدی شون نگیری. اما بدن همیشه یه جایی زنگ خطر رو به صدا درمیاره.
نوع علائم
| مثال ها
|
حسی
| گزگز، مورمور یا بی حسی در دست، پا یا یک سمت بدن
|
بینایی
| تاری دید، دوبینی یا درد پشت چشم
|
حرکتی
| ضعف عضلانی، عدم تعادل، لرزش یا احساس سنگینی پا
|
عمومی
| خستگی زیاد، گیجی، بی حوصلگی یا اختلال تمرکز
|
گوارشی و ادراری
| تکرر ادرار یا حس ناتمام بودن تخلیه مثانه
|
-- وجود یکی از این علائم لزوماً به معنی ام اس نیست.
اما اگر این علائم تکرار یا طولانی شدن، باید تست های تکمیلی انجام بدی.
تست ام اس چیست و چطور انجام می شود؟
تشخیص ام اس با یک آزمایش ساده ممکن نیست. پزشک با ترکیب چند روش مختلف به نتیجه می رسه. بیای با مهم ترین مراحلش آشنا بشیم

-- معاینه عصبی (نورولوژیک)
اولین قدم، بررسی سیستم عصبیه:
* واکنش عضلات
* تعادل و رفلکس ها
* بینایی و حرکات چشم
* حس لامسه و دما
در این مرحله پزشک ممکنه تصمیم بگیره MRI یا آزمایش های تخصصی تر انجام بدی.
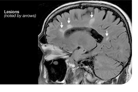
-- MRI مغز و نخاع
MRI دقیق ترین ابزار تشخیص ام اسه.
در این تست، پزشک نقاط سفید کوچکی رو می بینه (پلاک ها) که نشون دهنده ی آسیب میلین هستن. MRI با تزریق دقت بیشتری داره و ضایعات فعال رو هم نشون می ده.
-- آزمایش مایع نخاع (Lumbar Puncture)
در این آزمایش مقدار کمی از مایع نخاع گرفته می شه تا بررسی بشه آیا التهاب یا آنتی بادی خاصی در بدن وجود داره یا نه.
-- تست پتانسیل های برانگیخته
در این تست، سرعت پاسخ مغز به محرک های بینایی یا شنوایی اندازه گیری می شه. کند بودن پاسخ می تونه نشونه ی درگیری مسیر عصبی باشه.
-- آزمایش خون
آزمایش خون برای رد سایر بیماری هاست: مثل تیروئید، کمبود ویتامین D یا B12، لوپوس یا عفونت های خاص.
تست ام اس در خانه؛ واقعیت یا خیال؟
بذار واضح بگم: تست قطعی ام اس در خانه وجود نداره.
اما می تونی از روش های غربالگری ساده برای بررسی اولیه استفاده کنی یا از آزمایش در منزل کمک بگیری تا دلایل مشابه ام اس رو بررسی کنی.
چند پرسش ساده برای غربالگری در خانه:
* آیا در هفته گذشته احساس بی حسی در یک سمت بدن داشتی؟
* موقع راه رفتن تعادلت رو از دست دادی؟
* دیدت موقتاً تار شده؟
* بدون دلیل خاصی احساس خستگی زیاد داری؟
اگر پاسخ چندتا از این سؤال ها مثبته، بهتره تست های تخصصی تر مثل MRI انجام بدی.
آزمایش در منزل؛ قدم اول برای آرامش ذهن
خیلی از علائم ام اس از کمبود ویتامین ها یا مشکلات ساده تر میان.
با خدمات آزمایش در منزل می تونی بدون خروج از خونه موارد زیر رو بررسی کنی:
نوع آزمایش در منزل
| هدف
|
تست ویتامین D
| بررسی ضعف و خستگی مزمن
|
تست ویتامین B12
| بررسی گزگز و بی حسی
|
تست تیروئید (TSH، T3، T4)
| تشخیص اختلالات متابولیک
|
تست قند خون
| بررسی سرگیجه یا ضعف
|
CBC و CRP
| ارزیابی التهاب عمومی بدن
|
مقایسه روش های تشخیص ام اس
نوع تست
| هدف
| دقت
| محل انجام
|
معاینه عصبی
| بررسی علائم اولیه عصبی
| متوسط
| مطب پزشک
|
MRI مغز و نخاع
| مشاهده پلاک ها و آسیب میلین
| بسیار بالا
| مرکز تصویربرداری
|
آزمایش مایع نخاع
| بررسی آنتی بادی های خاص
| بالا
| بیمارستان
|
تست پتانسیل برانگیخته
| سنجش عملکرد عصبی
| متوسط
| کلینیک تخصصی
|
آزمایش در منزل
| بررسی علل مشابه ام اس
| کمکی
| منزل شخصی
|
توصیه های طلایی برای تشخیص زودهنگام
1- به تغییرات بدن ت گوش بده.
2- سرچ کردن خوبه، ولی تشخیص اینترنتی نیست!
3- MRI با تزریق انجام بده تا پلاک های فعال هم مشخص بشن.
4- استرس، خواب و تغذیه رو جدی بگیر — سه دشمن پنهان سلامت اعصاب.
5- اگر ام اس تشخیص داده شد، نترس. داروها می تونن پیشرفتش رو متوقف کنن.
سوالات متداول درباره تست ام اس
1. آیا ام اس درمان قطعی دارد؟
درمان قطعی نه، ولی با داروهای جدید می تونی سال ها بدون مشکل زندگی کنی.
2. آیا تست ام اس در خانه قابل اعتماده؟
نه به صورت قطعی، اما برای بررسی اولیه و استفاده از خدمات «آزمایش در منزل» عالیه.
3. آیا MRI بدون تزریق کافیه؟
MRI با تزریق دقت بیشتری داره چون پلاک های فعال رو هم نشون می ده.
4. آیا استرس باعث ام اس می شه؟
به تنهایی نه، ولی استرس طولانی مدت می تونه حملات رو تحریک کنه.
5. آیا ام اس همیشه باعث ناتوانی می شه؟
نه، بیشتر بیماران با درمان منظم و سبک زندگی سالم کاملاً طبیعی زندگی می کنن.
جمع بندی
تست ام اس مجموعه ای از بررسی های تخصصیه، نه یک آزمایش ساده.
تشخیص درست یعنی ترکیب هوشمندانه ی علائم، MRI و آزمایش های دقیق .
اگر احساس کردی بدنت سیگنال های جدیدی می فرسته، نترس — فقط آگاهانه عمل کن.
با یه آزمایش در منزل ساده شروع کن، مطمئن شو علت ساده تری در کار نیست، بعد برو سراغ بررسی تخصصی تر.
بدن تو هر روز برایت می جنگه؛ حالا نوبت توئه که برایش بجنگی